At Cary Family Dental, we believe that a healthy smile is a confident smile. Whether you’re visiting us for a routine check-up or have specific concerns, our comprehensive evaluations cover five critical areas—grouped into two categories: longevity and esthetics.
Most patients come to us focused on keeping their teeth healthy for as long as possible, while a smaller number are interested in making changes to their smile’s appearance. Either way, we guide you toward achieving your dental goals.
Longevity: Protecting Your Smile for the Long Haul
For most of our patients, preserving the health and function of their teeth is priority number one. When it comes to longevity, we focus on two key areas: your teeth’s foundation and their structural integrity. Our goal is to help you keep what you have and prevent things from worsening.
1. Foundation Health: Your Gums and Bone
A strong foundation is essential for healthy teeth. That’s why we begin by assessing your gums and the bone that supports your teeth. Think of your gums and bone as the roots of a tree—without strong, healthy roots, the tree can’t thrive.
During every visit, we carefully evaluate for signs of gum disease, inflammation, or bone loss, which can weaken this foundation over time. Addressing these issues early is key to maintaining the longevity of your smile. If we notice any concerns, we’ll recommend treatments to protect or restore the health of your gums and bone, ensuring your teeth have the support they need to last a lifetime.
2. Structural Integrity: Preventing Damage Before It Happens
Teeth are remarkably strong, but they can still face structural challenges over time. Our evaluations focus on identifying any risks that could lead to cracks, fractures, cavities, or infections.
By catching small problems before they escalate—like treating a cavity before it turns into a larger issue or addressing a minor crack before it causes significant damage—we help protect your teeth’s integrity. Our goal is to help you avoid more invasive treatments down the line and keep your natural teeth strong and functional for as long as possible.
Esthetics: Creating a Smile You Love
While the majority of patients are focused on dental health, a small but important group comes to us looking to enhance their smile’s appearance. For these patients, we evaluate three major aspects of esthetics: color, shape, and position.
Even if you don’t want to change your smile dramatically, these evaluations are still important. After all, everyone wants a smile they feel confident about.
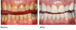
3. Color: Brightening Your Teeth
One of the most common concerns we hear from patients is about the color of their teeth. Whether it’s staining from coffee, tea, or simply the effects of time, we can help you regain a brighter, more vibrant smile. During your visit, we’ll assess the current shade of your teeth and discuss the best options to improve it. This may include teeth whitening treatments or other cosmetic options like veneers to restore your smile’s natural brilliance.
4. Shape: Refining the Contours of Your Teeth
Sometimes, it’s not the color of the teeth that concerns patients, but their shape. Teeth that are chipped, uneven, or worn down can detract from your smile. Whether you feel your teeth are too small, too pointy, or irregular in shape, we offer treatments to reshape and enhance their appearance. Using techniques like bonding, recontouring, or veneers, we can give your teeth a more balanced and natural look.
5. Position (Alignment): Achieving a More Symmetrical Smile
The alignment of your teeth plays a significant role in both appearance and function. If you’re concerned about crooked or misaligned teeth, we’ll evaluate your bite and the position of each tooth. Misalignment doesn’t just affect the look of your smile—it can also cause discomfort and wear on your teeth. We may recommend options like Invisalign to straighten your teeth and give you a smile that’s not only beautiful but also healthier in the long run.
What You Can Expect at Every Visit
At Cary Family Dental, our comprehensive evaluations focus on these five areas every time you come in—whether it’s your first appointment or a routine check-up. We believe that a healthy foundation is the key to keeping your teeth strong for life, but we also understand the importance of feeling good about how your smile looks.
By addressing both longevity and esthetics, we provide personalized care that meets your needs, whether you’re looking to protect your teeth or enhance them. If you have specific concerns, let us know during your visit. We’re here to create a customized treatment plan that works for you.
Ready to Take the Next Step?
If you’re due for a check-up or have concerns about your teeth, now is the perfect time to schedule your next visit. Reach out to Cary Family Dental today, and let us help you maintain a smile that lasts a lifetime—while making sure it looks its best along the way.
Contact Cary Family Dental:
919-295-3794
Location (Tap to open in Google Maps):
915 Kildaire Farm Rd
Cary, North Carolina
27511

