Patient’s Chief Concern: Feeling Self-Conscious About the Gap
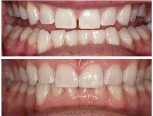
Our patient came to us with one primary concern: the space, or diastema, between his two front teeth. Like many people who experience gaps in their teeth, he felt that the gap was detracting from his appearance. While diastemas are relatively common, they can cause some individuals to feel insecure, especially when the gap is located in a highly visible area like the front of the mouth.
This patient had lived with the gap for years but had finally decided he was ready for a change. He wanted a solution that would give him a more even smile without undergoing extensive treatment. After his initial consultation, we discussed his options, taking into account his goals and preferences. The result was a personalized plan that would help him achieve the smile he envisioned.
Focus of the Case: Aesthetic Enhancement with a Conservative Approach
From the outset, it was clear that this case would be focused on esthetics. Our goal was to close the gap in a way that enhanced the appearance of the patient’s smile without altering the structure of his natural teeth. We wanted to provide a solution that not only improved his smile’s symmetry but also maintained its natural look and feel.
We discussed several treatment options, including orthodontics and porcelain veneers. However, these options can be more invasive or expensive, and our patient wanted a quicker, more conservative solution. That’s where composite bonding came into play. Composite bonding offered the perfect balance of affordability, minimal invasiveness, and immediate results.
What is Composite Bonding?
Composite bonding is a procedure where a tooth-colored resin is applied to the teeth to improve their appearance. It’s often used to close gaps, repair chipped or cracked teeth, or reshape teeth. The resin material is carefully molded and bonded to the teeth, allowing us to make precise aesthetic improvements.
One of the primary advantages of composite bonding is that it doesn’t require any removal of the natural tooth structure, making it a conservative treatment option. The material is designed to mimic the natural appearance of enamel, which allows for a seamless integration with the rest of the teeth. This was especially important in our patient’s case, where maintaining a natural look was a top priority.
The Treatment: Composite Bonding for a Natural, Symmetrical Smile
Once our patient decided to move forward with composite bonding, we began the process by doing a mock-up. This step is crucial because it allows the patient to see what their smile will look like once the bonding is complete. The mock-up is done directly in the office and involves temporarily placing the bonding material on the teeth without making any permanent changes. This way, the patient gets a preview of the result and can decide if any adjustments are needed before moving forward.
Our patient appreciated this preview because it gave him the confidence to move ahead with the bonding. He took pictures of the mock-up with his phone and spent some time thinking it over before deciding to proceed. After a few months, he returned, ready to complete the treatment.
The composite bonding procedure itself was straightforward. In about one to one-and-a-half hours, we carefully applied and shaped the bonding material to close the gap between his front teeth. No anesthesia was required, and the patient was comfortable throughout the entire process. He was able to eat and chew normally immediately after the procedure, which was a huge benefit for him.
Special Considerations: Matching the Bonding to a Whiter Smile
One unique aspect of this case was the patient’s desire to whiten his teeth before the bonding procedure. Composite resin, unlike natural enamel, does not change color over time. This means that if a patient wants whiter teeth, it’s best to do the whitening before applying the bonding, as the bonding material must be matched to the patient’s current tooth shade.
Our patient underwent 3-4 weeks of at-home whitening before returning for the bonding procedure. This allowed us to match the composite resin to his newly whitened teeth, ensuring a flawless, cohesive look. Additionally, because we had already done a mock-up, we knew that closing the gap would not cause the teeth to appear too wide or disproportionate, which can sometimes be a concern with diastema closures.
The Outcome: A Smile He Loves
The results of the composite bonding were immediate, and our patient was thrilled with the outcome. Not only had the gap been closed, but the overall appearance of his smile had been significantly enhanced. The bonding material blended seamlessly with his natural teeth, giving him the even, symmetrical smile he had been hoping for.
Later that evening, he texted us with a simple message: “I love my new teeth!” This kind of feedback is what makes our work so rewarding. Knowing that we’ve helped someone feel more confident and comfortable with their smile is why we do what we do.
Why Choose Composite Bonding?
Composite bonding is an excellent option for patients who want to make quick, noticeable improvements to their smile without undergoing invasive procedures. Some of the key benefits of composite bonding include:
- Minimally Invasive: There’s no need to remove any tooth structure, making it a conservative treatment option.
- Quick Results: Most cases can be completed in just one visit, with immediate results.
- Cost-Effective: Bonding is typically more affordable than veneers or orthodontic treatments.
- Versatile: It can be used to close gaps, repair chips or cracks, and improve the overall shape of the teeth.
For patients like ours, who want a quick and effective solution, composite bonding can be the perfect choice.
Is Composite Bonding Right for You?
If you’ve been considering improving your smile—whether by closing gaps, whitening your teeth, or reshaping them—composite bonding might be the solution you’ve been looking for. It’s a fast, affordable, and non-invasive way to enhance the appearance of your teeth while maintaining their natural structure.
At Cary Family Dental, we’re passionate about helping our patients achieve the smiles they’ve always wanted. If you’d like to learn more about composite bonding or other cosmetic dentistry options, contact us today to schedule a consultation. A more confident smile could be just one visit away!
Contact Cary Family Dental:
919-371-4428
Location (Tap to open in Google Maps):
915 Kildaire Farm Rd
Cary, North Carolina
27511

