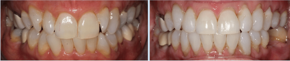
A beautiful smile is one of the first things people notice about you. It’s also been shown to boost your self-confidence and make a great first impression. If you’re not happy with your smile, there are three things you can change: the shape of the tooth, the color of the tooth, and/or the position of the tooth. At Cary Family Dental we are obsessed with giving you the smile of your dreams. You can see some examples of our work in the pictures shown below.
The Shape of the Tooth
One way to improve your smile is by changing the shape of your teeth. This can be done through a variety of methods, such as veneers, bonding, or crowns. Veneers are thin pieces of porcelain that are bonded to the front surface of your teeth. Bonding is a process where a tooth-colored resin is applied to your teeth and then hardened with a special light. Crowns are used to cover a tooth that has been damaged or is misshapen.
The Position of the Tooth
The third way to improve your smile is by changing the position of your teeth. This can be done through braces or Invisalign® clear aligners. Braces are metal wires that are attached to your teeth to gradually move them into their proper position. Invisalign® clear aligners are clear plastic trays that are worn over your teeth to gradually move them into their proper position.
The Color of the Tooth
Another way to improve your smile is by changing the color of your teeth. This can be done through several methods, including bleaching and whitening, or porcelain veneers. Bleaching is a process where bleach is applied to your teeth to lighten them. Whitening is a process where a special gel is applied to your teeth to remove any stains or discoloration. Porcelain veneers are thin pieces of porcelain that are bonded to the front surface of your teeth to change their color.
Conclusion:
No matter what you’re unhappy with when it comes to your smile, there’s likely a way to fix it! Whether you want to change the shape, color or position of your teeth, there are options available to help you achieve the smile of your dreams! Contact our office to schedule a free consultation and let’s see what we can do to help you love your smile again!
Contact Cary Family Dental:
919-371-4428
Location (Tap to open in Google Maps):
915 Kildaire Farm Rd
Cary, North Carolina
27511

