Skip to main content

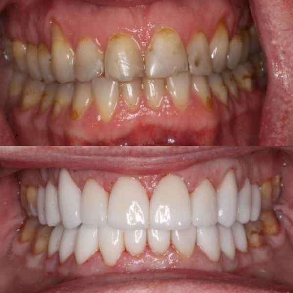
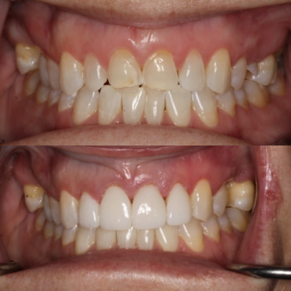
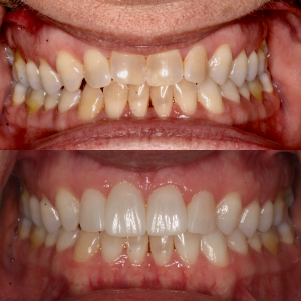
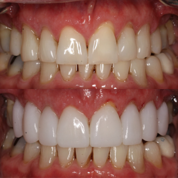
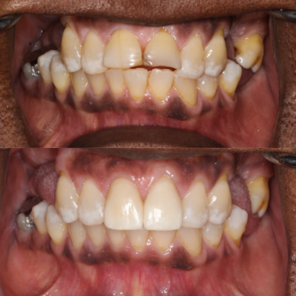
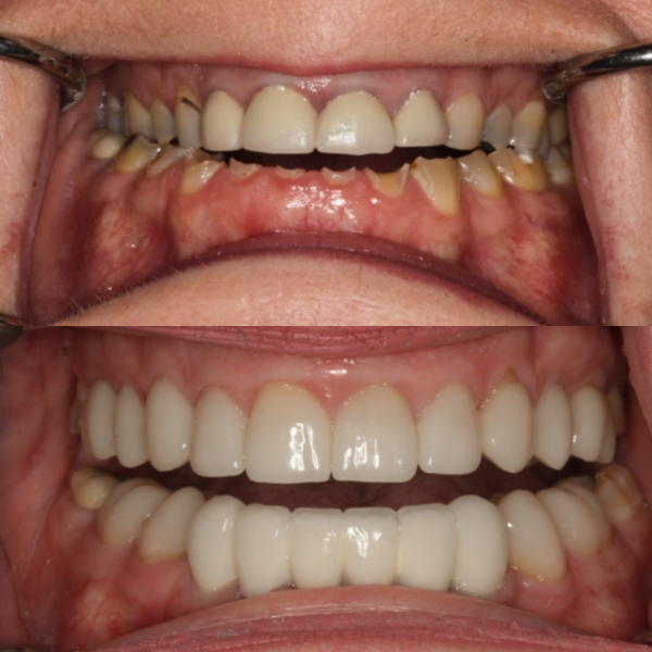
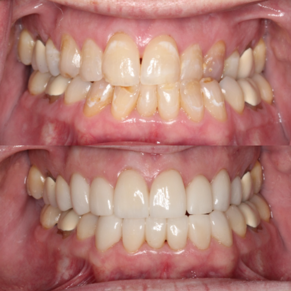
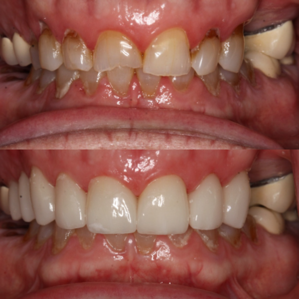
Smile Gallery

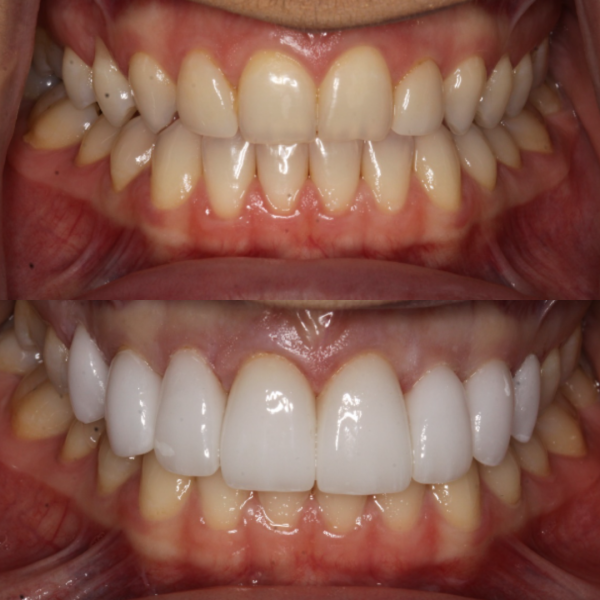
A Smile That Will Light Up A Room

Check out some of our before and after image of our patients

What Our Patients Are Saying!

As a first time patient, I was warmly welcomed and every person I came in contact with was very friendly. I received a thorough cleaning and was very informed of my needs and any procedure that might be performed.

Cindy Covil

I have been a patient of Dr. Acton's for 19 years. You can trust him to listen to you and address your needs and/or fears. He has the most up to date procedures and invest in training all of the staff on both the latest techniques and customer service... I feel safe and well cared for at each of my appointments.

Darlene Germano

Dr. Acton is great at what he does and I highly recommend using Cary Family Dental as your new Dentist! PS - their new building is awesome and they have TVs on the ceiling so you can watch when you are getting cleaned!

Nathan Campbell

I have been with cary family dental for a few years now and always leave happy! I actually am looking forward to going to this dentist. All staff is always friendly and seem to really care about my well being.

Ida Kaeser
Cary Family Dental - 915 Kildaire place picture
4.8
Based on 1615 reviews
powered by Google
Billy Hall profile picture
Billy Hall
21:07 31 Dec 25
A long overdue visit for me, so they had their work cut out for them. It was Blanca who did about 95% of the job, and she knows how to keep the drama down and help you feel comfortable with having sharp stuff poking around your mouth. Teeth haven't felt this thoroughly cleaned since my last visit to a different dentist a few years ago. I think I'm in good hands, and this isn't even Allstate.
Carolina Martinez profile picture
Carolina Martinez
13:35 23 Dec 25
I had a 4.5 star experience! Almost a 5, but as my first time coming in & having had to fill out 7 forms prior to my visit (None of which asked for my insurance card, all it asked was if I used Medicaid), my check in did not go smoothly. This small issue made my check in more of a lengthy hassle. I will say the front desk associate was very friendly & helpful. She welcomed me with a nice smile, I appreciate her professionalism. I was called back promptly by Blanca, she did an amazing job! I loveeeed my little New Patient gift! She explained everything to me during my visit & made sure I didn’t have any unanswered questions. I unfortunately forgot the Doctors name that attended me but she was also great & friendly. Overall besides the check in issue, my whole cleaning was phenomenal and I am grateful to Blanca & the doctor for the amazing experience. I’m so glad I found this place! I look forward to my next visit. I will for sure be updating on my next visit. Hopefully it’s just of an amazing visit then too! Happy Holidays 🎄
zane profile picture
zane
15:22 13 Dec 25
I have dental anxiety and sensitive teeth/gums, so visits to the dentist have always been rough for me -- CFD is the best dental experience I've had by far. Super understanding and gentle staff and they work quick!! Worth the drive all the way from Durham 🙂
Kimberly Deaton profile picture
Kimberly Deaton
13:34 30 Oct 25
My hygienist, Blanca, was fantastic! She made me feel so comfortable for a procedure that was not. It was the best dental experience I have had in a decade due to Blanca. Thanks Cary Family Dental for having such a great person on staff! 😀🎃
Kristen Sagerer profile picture
Kristen Sagerer
18:06 26 Oct 25
I cannot recommend Dr. Bryant Wooten enough! I had some decay on my front teeth and needed fillings, and he made the whole experience completely stress-free. He’s incredibly skilled, patient, and kind, taking the time to make sure I was comfortable and explaining everything clearly.

The results are amazing, and my front teeth look better than I ever imagined! He’s so caring, and I genuinely feel well taken care of every time I’m there. I’m so glad we found him when we moved to Cary. If you want a dentist with exceptional skill and care, Dr. Wooten is the absolute best!
Kathy P profile picture
Kathy P
19:48 13 Oct 25
This was my first visit ever here today, and I walked out smiling! What a wonderful and warm environment with friendly staff to welcome you win. There’s coffee and water in the waiting room if you need to wet your whistle and even Chapstick on your way out. I must say the cute little welcome gift on the dentist chair was a great way to start for this new patient. The appointment was thorough, friendly, and very reassuring. They definitely didn’t miss a beat and I’ll be looking forward to my next cleaning. Thank you for a great first impression!
Elmira Babayeva profile picture
Elmira Babayeva
23:51 04 Oct 25
I’m super satisfied with my experience at this dental clinic! Dr. Madden and dental assistant Ameenah were absolutely amazing to work with. Ameenah was incredibly attentive. She explained everything to me in detail and made sure I felt comfortable throughout the visit. Dr. Madden has such a calm and comforting presence, which really helped ease my nerves.

The clinic itself is spotless, and the entire staff is friendly and professional. I actually had my tooth removed three days ago, but I started having some pain this morning. I called the clinic at 8:00 AM, and they were kind enough to take me in at 8:30 AM. I was seen again by Dr. Madden, who quickly evaluated my problem, cleaned the infected area and prescribed antibiotics. Everything went so smoothly, and I truly appreciate how caring and responsive they were.

Overall, an excellent experience — clean office, friendly staff, and outstanding care. Highly recommend!
Liam Woods profile picture
Liam Woods
16:19 19 Sep 25
This is one of the best dental experiences I've ever had. Came to this practice after having a really bad experience at a different Dentist. Liz and Dr Madden were amazing. Liz explained everything to me every step of the way and Dr Madden made sure I had all of my questions and concerns answered. Office was very clean and every person I came into contact with was very friendly and genuinely looked happy to be there and not just "another day at the office". I'm incredibly grateful for such a positive experience, especially after not having one at a different dentist prior to this appointment.
If you're looking for the perfect dentist, then look no further. Kindness and care is at the forefront of everything they do and it really shows.
Robert Lee profile picture
Robert Lee
15:42 09 Sep 25
Hello, this is my first time coming to this dental office or any dentist since moving to North Carolina.
The atmosphere was superb and very friendly walking in.
Ana the dental hygienist and Blanca were EXTREMELY informative throughout every step. Ana was so accommodating through everything and was really involved with what you wanted from the visit and moving forward with oral care!
Each step of the way she would go over everything and explain everything from the up most thoroughness. She was super kind and made the atmosphere very uplifting.
The doc/dentist that came in was super respectful and friendly. He also was very informative and showed a lot of trust in his dental hygienist which I believe she is very knowledgeable in the field!
Over all great first time, they got me set up with a care plan that will hopefully help me get back on track!!

Thank you and would recommend to everyone!!
Mar N profile picture
Mar N
18:32 27 Aug 25
Update 8/27 : Unfortunately I have to change my review to 1 star because this office told me they were in network when they are not. Very shady business practices. Be careful!

Great place. They were super gentle and fast. Ana is a star hygienist. Best dentist i have been to in a very long time
Elizabeth Brose profile picture
Elizabeth Brose
01:05 13 Aug 25
Dr Davis and his staff are wonderful! Not only is Dr Davis a talented dentist, but he is a kind and HONEST person. He saved me from getting over $5k of unnecessary work done that had been recommended by previous dentists to treat my jaw pain. When I pointed out that he could have made a lot of $ by going along with the other drs he told me, "While we have to charge for our services to keep the doors open, we do this work because we really do care about helping our patients." Even better, he relieved my life long pain during my normal dental exam at no extra cost! His whole staff is knowledgeable, professional, gentle and compassionate. They make going to the dentist a positive experience. Thank you Cary Family Dental!
Elizabeth Chu profile picture
Elizabeth Chu
13:56 03 Aug 25
If I could give 10 stars I would. This was the bougiest dentist office I’ve ever visited! I said “fancy” when I was there, but I think bougie is better. I felt like it was a spa for my teeth. The dental hygienist was SO kind and friendly. I hope to see her again on my next visit. Dr. Madden is also very friendly, courteous, and efficient. This entire office was amazing. Everything was so clean and thoughtful. They have monitors/TVs to entertain you during the teeth cleaning AND I unexpectedly received a welcome bag. That being said, I’m definitely returning here and so glad I found this office after just moving to the area this year.
J Byelick profile picture
J Byelick
18:28 25 Jul 25
I called to make an appointment and confirm my insurance was accepted at this facility. I was informed it was so they got in me as early as possible. The staff was great overall. My issue is the same as a lot of the negative reviews on here. Once I arrived they told me that my insurance required me to pre-pay for the services but that they were all covered. I agreed to that not knowing. I told them we can do anything that was covered for the regular yearly service. After multiple X-rays and photos they cleaned my teeth and sent me out to pay. I was very surprised to be charged $650 for this service. I asked about why if they accepted my insurance it was costing me so much out of pocket considering I have never been charged more than a co-pay before. After much discussion they said that if the insurance doesn't cover part of it then I will be reimbursed. That seems pretty fair and to their credit they did reimburse me for the majority (around $450) due to the insurance not paying for it. I finally had to ask myself why this just happened and started reading their reviews. They did NOT look up my insurance to confirm coverage and did NOT inform me that my insurance was "out of network" at their facility. To me this is a very dishonest way of doing business. What if I had not had the $650 to loan them for a while while they processed my insurance? I suppose they would have turned me away for service that day instead of doing their job and confirming insurance coverage and being honest about that to the clients up front.
Pinank Patel profile picture
Pinank Patel
22:33 11 Jul 25
Liz is hands down one of the best hygienists. Very profssional and detailed at her job. She will take her time to explain and provide the best service. Recently changed my dentist to Cary Family Dental and it was the best decision.
Kal0psia profile picture
Kal0psia
14:46 08 Jul 25
I have never had such a wonderful experience at the dentist! I have very awful dental anxiety, so I put off doing what I needed to do for much longer than I should have— Dr. Davis and the rest of the team held absolutely no judgment! He was gentle and patient with me, but also upfront about what needed to be done, all things that I value in a dentist! Dr. Davis also accommodated my requests and made a genuine effort to ensure that I was as comfortable as possible. The tech working with him when I got work done, Angel, was absolutely spectacular! She had a great, positive attitude that really helped take my anxiety away before they got started. I can’t recommend this practice enough!
Tyson Burgess profile picture
Tyson Burgess
00:00 03 Jul 25
Had the best experience with Ana today! She was so attentive and thorough. Always have loved my experience at CFD
belinda hooker profile picture
belinda hooker
20:35 20 Jun 25
I had a wonderful experience today with Dr. K Madden. She was kind, patient and understanding of my situation. Her assistant was outstanding as well. I will be back😊
Michelle Nelson profile picture
Michelle Nelson
16:38 17 Jun 25
I had a great experience at Cary Family Dental From the moment I walked in, the staff made me feel welcomed. Malorie Sloan, my dental assistant was very friendly, thorough and made sure I was comfortable while doing my x-rays and polishing my teeth. Fanta Edwards, my hygienist was very friendly and did an amazing job cleaning my teeth with detail and a gentle touch. Dr. Davis was professional, thorough and listened to my concerns. Already looking forward to my next appointment.
Roberta Schmidt profile picture
Roberta Schmidt
14:11 07 Jun 25
Dr Acton is great! Approachable and personable. Most of the hygienists are also detailed and thorough, and nice to chat with. Nice atmosphere, well designed waiting area, pleasant front desk overall.
John Miller profile picture
John Miller
15:32 08 May 25
Cary Family Dental is so honest and professional. Dr Davis crafted a special report for me to take to the VA to help me get the care from them that I have earned.
JIMIT JAIN profile picture
JIMIT JAIN
23:39 07 May 25
Being a dentist myself, I was very picky about where I would go to get my third molar removed. Dr Madden and the team were fantastic. She is extremely soft spoken, considerate and gives top notch care. She was able to get my stubborn tooth removed in matter of minutes. Would go to her, and take my family, for all dental care in the future. Highly recommended!
Kevin Morris profile picture
Kevin Morris
21:30 07 May 25
Excellent high quality care. Very efficient and pleasant but very skilled also. They are very interested in providing high quality care and a comfortable experience. The office is relatively large with multiple providers and this concerned me at first…I had a very poor experience and serious dental problems caused by a large dental “chain” previously. This is not like that and just a very well run professional setting that puts the actual “care” back in patient care. I am new to the practice but my hygienist Liz was the best I have ever had. Soft touch, methodical, no discomfort and very thorough. Images are taken along with normal depth chart…interested in a baseline - teeth presentation, bite and getting you where you need to be. I am quite happy that this is my new dentist - Dr. Eric Davis. He is a good listener and again, the focus is on the treatment and good outcomes. My only regret is that I wasn’t a patient until now.
Laura Purks profile picture
Laura Purks
13:32 25 Apr 25
Liz was amazing! Calmed my anxiety of it being too long since my last cleaning! Can’t recommend her enough!
Madison Day profile picture
Madison Day
19:59 14 Apr 25
I went in today to get 3 cavities filled. Dr. Acton made me feel so much better about getting numbed up and I never felt a thing. He was so patient and his assistant was really sweet too. This was a very nice experience. Thank y’all!
Sabrina Dryden profile picture
Sabrina Dryden
23:45 01 Apr 25
I was in town for business and had an unexpected temporary crown break. I called in a panic. The office staff was calm and reassuring. Dr Acton and his Dental Assistant were amazing. They made me feel confident that I was in the right place and they were going to take good care of me. And they absolutely did!!
Brian Klemm profile picture
Brian Klemm
16:21 27 Mar 25
The team at Cary Family Dental always takes the time to explain their recommendations, answer questions, and inform me what I can expect. They are highly competent, experienced professionals who are approachable, friendly and compassionate. Special shout out to Dr. Wooten, Nicky and team!
Craig Dubrule profile picture
Craig Dubrule
23:58 26 Mar 25
Dr Acton applied permanent cosmetic veneers to my fiancee's teeth. Once he learned that we had our wedding cruise coming up fast, Dr Acton sprang into action to get the permanent veneers applied in time. He was able to expedite the fabrication of the veneers. He made time during his day off to give her high quality results and allowed us to go on the cruise with her permanent veneers confidently in place. His attention to detail and diligence made a big difference and gave us confidence that the job would be done right. She and I love her veneers. They look natural and really make her smile pop. Thanks Dr Acton and Cary Family Dental!
Angela Kaley profile picture
Angela Kaley
19:13 20 Mar 25
I am a new patient at Cary Family Dental. My first appointment here was great! My hygienist at Cary Family Dental was amazing! She listened to my concerns and was very attentive to them. I was treated professionally and with curtesy throughout the whole visit. The Dentist came in to examine a few of my problem areas and was very knowledgeable, kind, and gave a clear detailed explanation of what he observed and his recommendations. The office is clean and very comfortable. I will be back in 6 months for my next cleaning! Thank you Cary Family Dental!
Samantha Tysinger profile picture
Samantha Tysinger
20:54 11 Mar 25
The facilities are nice and Fanta and Dr. Acton were great with my 13 month old.
Jeanette Williams profile picture
Jeanette Williams
20:32 11 Mar 25
The staff is very professional and friendly. I was given options and suggestions for the next visit. I am very happy about my dental treatment. I would recommend this office.
David W. profile picture
David W.
11:15 07 Mar 25
I have always experienced dental anxiety, even as an adult. However, my experience at this practice has completely changed my perspective. Following several procedures, including extractions, I no longer feel apprehensive about visiting the dentist. The staff consistently demonstrate professionalism and courtesy, and I always feel comfortable requesting a break during treatment if needed. I highly recommend this practice.
Creed Day profile picture
Creed Day
00:23 05 Mar 25
Upcharged without any knowledge, and did not polish my teethe, will have to go to another dentist next week to get it done right
Elisabetta Ballaben profile picture
Elisabetta Ballaben
15:28 25 Feb 25
Lore-Marie Pilotte profile picture
Lore-Marie Pilotte
18:23 11 Feb 25
Always accommodating. Listen to your individual needs. Incredible staff. I’m grateful to have found them. I drive over an hour for their consistent service. One can not go wrong.
Emma Mosley profile picture
Emma Mosley
19:36 08 Feb 25
I found my new dentist! Thank you!
Vanessa profile picture
Vanessa
20:51 04 Feb 25
Great staff and hygienist, and I have new dentist now. They were very thorough and personalable. It was like going to a tooth spa for your oral care. Best 1st time visit ever. I've already paid and booked my next visit. 😊
Tlynne profile picture
Tlynne
17:07 04 Feb 25
Everyone was very nice and through and I feel comfortable calling them my Dentist of choice in NC
Roz profile picture
Roz
15:41 30 Jan 25
Scheduling lady Mandy was very helpful and patient helping me coordinate my appointment around MY schedule opposed to forcing me into theirs. Worked together and found the perfect time with Dana the perfect dental hygienist! Thank you Mandy!
Casey Convertini profile picture
Casey Convertini
20:23 29 Jan 25
As somebody who has a lot of anxiety, quality of care is super important to me. Liz and Dr. Madden were amazing. They did everything they could to make sure I felt comfortable, asked questions, and checked in with me throughout the process. The front were polite and welcoming. I highly recommend them.
Ethan Kirkland profile picture
Ethan Kirkland
11:33 20 Jan 25
If you’re looking for a dentist office that’s thorough, honest, professional, and easygoing, then check out this place (Dr. Madden specifically). Definitely the best dental experience I’ve had.
Derick Sanders profile picture
Derick Sanders
14:52 17 Jan 25
This is the best dentist office i have ever been too the staff is so kind and helpful thank you for all your help 😁
Nora Kerwin profile picture
Nora Kerwin
17:25 15 Jan 25
UPDATE: the office called and informed me that my payment included prepayment for dental work per treatment plan. The total I paid was not solely for a dental cleaning which was my biggest concern. I received a reimbursement for my prepayment which was very appreciated.

Beware! They are known to DECEIVE people into thinking they accept dental insurance. Paid way too much for my dental cleaning and they led me to believe I wouldn’t have to pay anything since cleanings are fully covered by my insurance.
Juna Bihl profile picture
Juna Bihl
22:03 09 Jan 25
The statf was knowledgeable, friendly, and I was very impressed with the thoroughness of the hygienist.
Taylor Anderson profile picture
Taylor Anderson
17:35 06 Jan 25
Cynthia Quarantello profile picture
Cynthia Quarantello
23:02 16 Dec 24
Ana was amazing today. She was calm and assured me that I would be okay during my teeth cleaning and my teeth have never looked better. No pain, and I was so relieved after a painful cleaning years ago.

Dr. W is amazing as well. He is genuine, thorough, and a good human.

The staff are friendly, timely, and on point. The office is modern, clean, and in a great location.

This practice blew me away so much that I have already referred them to clients and friends.

So happy that I found them. I would give them 10 stars if I could.
Relwan Onikoyi profile picture
Relwan Onikoyi
20:43 16 Dec 24
I had an excellent experience at Cary Family Dental. The staff is welcoming, and the service is top-notch. Ana, the dental hygienist I saw on my first visit, was incredibly friendly and attentive during my routine cleaning. She was thorough while continuously checking in to ensure I was comfortable throughout. Highly recommend Cary Family Dental!
Eathan Long profile picture
Eathan Long
16:17 13 Dec 24
Easy scheduling, great people, and even better service. 10/10
Calista Sewell profile picture
Calista Sewell
16:29 11 Dec 24
Don’t ignore the 1 star reviews. They will say they’re in network to get you in the door and “write off” the cleaning to get you to stay. They’re not contracted with any insurance which is how they get away with charging almost $400 per filling. They gave me false insurance estimates and then sent me a bill for 4x more. That’s why they keep a card on file!!! Note that when you point out the shadiness, you will get excuses in return.
Tonia Walden profile picture
Tonia Walden
16:41 05 Dec 24
Cary Family Dental is a wonderful office and has helped me overcome my fear of the dentist. Dr Madden and team are fantastic and worked well to help me! Thank you
Chloe Ledford profile picture
Chloe Ledford
20:38 03 Dec 24
Cary Family Dental is an amazing place!! It was so easy to make an appointment and they were so communicative. Everybody was so nice and Liz and Dr. Wooten did a wonderful job!!
Donald Loosman profile picture
Donald Loosman
16:52 21 Nov 24
Omygosh they were so caring and worked with me on the process. I’m usually tense when I go to the dentist office,but Dr Wooten and staff are really the best! 5 Stars!
Talaya Ema'n profile picture
Talaya Ema'n
17:29 18 Nov 24
My hygienist was an absolute sweetheart. I was a new patient and there was a gift bad waiting for me! I’m glad I decided to come here!!!
Lauren Quarantello profile picture
Lauren Quarantello
22:40 14 Nov 24
Dr Wooten and Ana were top tier! My mom had just had her first appointment here and she was so happy with her experience she referred me. I get super nervous at dentists, doctors, all of it.. but they were amazing! I felt very little nervousness, they were very professional and my experience was overall great.
Nick Quarantello profile picture
Nick Quarantello
14:56 11 Nov 24
Diamond Gass profile picture
Diamond Gass
18:14 08 Nov 24
brian lineberry profile picture
brian lineberry
13:25 02 Nov 24
Mike Rizzi profile picture
Mike Rizzi
16:57 01 Nov 24
Anyone in the Raleigh Cary apex triangle area I highly recommend Cary Family Dental Dentist was awesome and I was pain Free I had over 15 teeth removed got clip on dentures
Yesterday and I have no pain dentures feel great I lost most of my teeth after Bariatric surgery broken chipped rotten teeth I was in paint for 3 years till I found Cary Family Dental I tried aspen affordable dentures and many others always got the run around Cary family dental did everything in there office one stop shop thanks again to
Cary Family dental
mike rizzi profile picture
mike rizzi
16:56 01 Nov 24
Anyone in the Raleigh Cary apex triangle area I highly recommend Cary Family Dental Dentist was awesome and I was pain Free I had over 15 teeth removed got clip on dentures
Yesterday and I have no pain dentures feel great I lost most of my teeth after Bariatric surgery broken chipped rotten teeth I was in paint for 3 years till I found Cary Family Dental I tried aspen affordable dentures and many others always got the run around Cary family dental did everything in there office one stop shop thanks again to
Cary Family dental
Marco Perez profile picture
Marco Perez
22:43 29 Oct 24
My experience here was very satisfying.
Victoria W profile picture
Victoria W
15:21 24 Oct 24
This office was very welcoming and accommodating. The staff was all extremely pleasant and helpful with all of my questions! Shout out to Ana, for my cleaning she was friendly and thorough making sure I was comfortable the whole time. Would highly recommend!
Amy Pittman profile picture
Amy Pittman
21:18 07 Oct 24
Great place to get your teeth in shape, especially if you have dental anxiety or sensitive teeth. I’m very grateful for the staff’s care and kindness.
Pam Jahnke profile picture
Pam Jahnke
16:04 03 Oct 24
Terrible Experience – Completely Unprofessional and Not Family Friendly

I’m absolutely appalled by the treatment my two children, ages 16 and 14, received at Cary Family Dentistry. My husband and I have been long-time patients, so we trusted them for our children's first non-pediatric dental appointments. Unfortunately, this experience has made us lose all trust in this practice.

Due to my children’s busy school and sports schedules, we scheduled their appointments on a day when my husband and I were in the office, but they were out of school. The office is just minutes from our home, and my 16-year-old son drove them both to their appointments. From the moment they arrived, the staff acted shocked that my daughter was 14 years old and proceeded to treat her with extreme disrespect.

The real issue came when the staff began loudly discussing, right outside my daughter’s room, how “irresponsible” it was for us not to attend her appointment. They made unnecessary and hurtful comments about her teeth, wrongly assuming she had just recently had a cleaning, saying things like “why is she even here?” and that the hygienist didn’t want to “waste her time.” These remarks were not only inaccurate but incredibly inappropriate. They repeatedly questioned why she was there at all, adding to the distress.

My daughter, who was already anxious about her first adult dental visit, called me in tears after the appointment, heartbroken by the way they had spoken about her and our family. The level of unprofessionalism is absolutely shocking, and no patient—especially a minor—should ever be made to feel so belittled and embarrassed.

This is NOT a family-friendly practice, and I am devastated that my children’s first experience with an adult dentist was such a nightmare. We will be finding a new dentist who actually cares about and respects their patients. If you value professionalism, kindness, and a welcoming environment, I highly recommend looking elsewhere.
Jamal Aatrach profile picture
Jamal Aatrach
01:52 02 Oct 24
Donna Page profile picture
Donna Page
19:21 01 Oct 24
Fantastic visit with hygienist Tori and Dr. Acton!!!
kevin arendt profile picture
kevin arendt
23:59 26 Sep 24
Tori and Dr. Davis are amazing. Highly recommend Cary Family Dental
Chelsea Carre profile picture
Chelsea Carre
21:23 23 Sep 24
I have been going to Cary Family Dental for YEARS and have never had a bad experience here. They are always very kind, informative, and tender to your teeth! The team is awesome and so helpful - I recommend them completely!
Heather Thomas profile picture
Heather Thomas
14:56 20 Sep 24
I recently had my first visit to Cary Family Dental, and I can confidently say it was an outstanding experience!

The team is not only incredibly pleasant but also highly knowledgeable. They took the time to explain every step of the process, which helped alleviate my nerves and made me feel confident in my decision to choose them as my new dentist. Their professionalism and genuine care for their patients truly shine through. I appreciated how the staff took the time to listen to my concerns and answer all of my questions thoroughly.

Overall, my experience at Cary Family Dental exceeded my expectations. I highly recommend Cary Family Dental to anyone looking for a compassionate and skilled dental team.
Sammantha Montes profile picture
Sammantha Montes
22:04 19 Sep 24
Just moved to the state and finding a good dentist is stressful but im so glad i found Cary Family! Ana is an excellent hygienist, she was very sweet and informative throughout the entire appointment.
Ciera Carter profile picture
Ciera Carter
16:28 17 Sep 24
Ana is literally the best hygienist I’ve ever had. Super personable. As long as she is there i will be her patient/client!
Jeremy Gladson profile picture
Jeremy Gladson
02:08 12 Sep 24
Worst dental experience I’ve ever had. The hygienist was extremely rude and reminded me multiple times that the office closes at 5pm. I went for a cleaning and to fix a loose crown of which neither were completed but I was still charged. I was told there was not enough time to perform both items even though I explained all this when making the appointment; the hygienist informed me to pick one because we close at 5. Much time was wasted taking orthodontic photos, I’m guessing to try and upsell me clear aligners at some point, I couldn’t understand why this was priority. I must also mention that my girlfriend is a professor of orthodontics and is one of the leading researchers in the United States and possibly the world for clear aligners, she has over 50 publications in orthodontic research; so I know what I’m talking about.
Madison Ford profile picture
Madison Ford
00:35 07 Sep 24
Super friendly and kind staff (loved my dental hygienist Carrie) and the facility is amazing. Dr. Davis was very knowledgeable and personable.

Kelly is a wonderful dental hygienist too!!! Dr. Wooten is fantastic too!!! They’re all fantastic!!!
C M profile picture
C M
18:27 06 Sep 24
I do not like the vibe at all anymore. I have switched . Health Care seems to be changed to health money. Prior work failed no accountability. Made me laugh they now sell a warranty with there work of course that's extra.
So customer buys at extra cost a warranty dentist gets paid no impact to them. I can see there business model evolving. No accountability.
I can do better and I did.

This is the response to the owners response.

The response was canned and as expected. If you dedicated to excellence I would say you are in need of a quality control audit bigly. Save your $10 words and canned fairytale response as the actions do not meet the Truth.
Ilirjana Nichols profile picture
Ilirjana Nichols
20:21 04 Sep 24
Very friendly and very detailed cleaning and checking the teeth.
Kelli McKenna profile picture
Kelli McKenna
02:30 21 Feb 24
I have pretty severe dental anxiety and Karla was amazing. She listened to my concerns in such an empathetic way and treated me with so much kindness throughout the appointment. Everyone I interacted with was friendly and it was the most positive experience I've had with a dental office.
Kenzie Sharp profile picture
Kenzie Sharp
19:05 20 Feb 24
As someone who suffers from a severe dental phobia I’ve experienced nothing but patience and understanding from Cary Family Dental. Considerate and nonjudgmental this team truly just wants to make sure your dental hygiene and experience getting there are the best they can be.
Erika V profile picture
Erika V
22:59 19 Feb 24
I had my first appointment here today and I loved it, the front desk staff were sweet and the sterilization tech was super nice and talkative and he checked up on me to make sure I was okay. My hygienist Tori was amazing and gave me the best cleaning ever after a couple years of not being able to go to the dentist from lack of insurance. Dr. Davis really listened to my concerns and treated me with respect and I just had the best experience here like wow
Evan Pallesen profile picture
Evan Pallesen
13:35 17 Feb 24
Dr Acton and his team leave nothing to be desired in terms of professionalism and enthusiam. Great service!
kelly derwin profile picture
kelly derwin
17:36 16 Feb 24
I had the best experience here!! Would highly recommend - they give you a new patient goodie bag and explain everything to you! Carla is phenomenal, I never want to go there without her! Dr. Madden is super sweet and very knowledgeable, she even called me before my appt to see if I had any questions!
Tina Morrison profile picture
Tina Morrison
19:50 14 Feb 24
Wonderful practice and great team! Karen the hygienist was thorough, thoughtful and put me at ease.
Bobby V profile picture
Bobby V
19:05 13 Feb 24
Tardis Girl profile picture
Tardis Girl
18:52 09 Feb 24
Awesome environment and very welcoming definitely will keep going here
Tabitha Capps profile picture
Tabitha Capps
21:59 24 Jan 24
Katy John profile picture
Katy John
16:57 24 Jan 24
Ben Lail profile picture
Ben Lail
21:25 23 Jan 24
Great service and explained dental information thoroughly.
Melina Calhoun profile picture
Melina Calhoun
16:19 18 Jan 24
As someone who has trauma from past dentist visits… this office and staff made me feel so comfortable and cared for. Very happy with visit.
Claire Evans profile picture
Claire Evans
13:29 16 Jan 24
While my initial appointment was good, they found that I have four cavities. They bill me 3 times what I would actually have to pay with my insurance to get these filled at another appointment. Come to find out they don’t accept any kind of insurance in full. I went back to their website and searched around and finally found where they said this. They don't mention it at all at the new patient appointment. I wish they had this information on the home page or discussed it when it came time to pay for my filling appointment. Customers appreciate transparency. They are not in network with any insurance company so just be aware before you schedule an appointment. Now I have to wait until they finish filing then they said they can process my refund so we will see how long that takes. Outside of that, the new patient appointment went good as far as professionalism and quality of services.
Dana Song profile picture
Dana Song
01:58 14 Jan 24
Just relocated to NC and new to the area. Found really good Google reviews so I filled all the paperwork for both me and my husband, hoping to make this our long-term dental place. However, the first experience was not good and they were not professional at all. I filled out my insurance info two days before my appointment. The night before my appointment 9:45pm I got a text message from the clinic asking me to re-complete the insurance form because they couldn’t find it. Then 9:52pm I got an email saying it was a mistake and they found it. The next day morning at 7am I arrived at the front desk ready for my appointment, and they told me I had to pay in full ($645) due to my insurance policy. I wish they could’ve informed me earlier, even a couple of hours was enough maybe around the time they texted or emailed me regarding my insurance. But they didn’t. AND the hilarious part is the front desk lady insisted they called me, but I have all my call history and couldn’t find any record of their call. Well, I won’t go back to that place again. I trust them and they just throw it away. A total waste of time - from filling out all the paperwork (they have like ten different documents need to be filled for each person) to the time spent driving there (I live 20min away and only wanted to find a really good dentist). But they just left me feeling uncomfortable.
George Hijazin profile picture
George Hijazin
05:52 06 Jan 24
Very welcoming staff at the front desk. Liz is my dental hygienist and she is very thorough with her feedback as she explains everything she is doing and meticulous about ensuring my teeth were clean. The Dentist was equally as thorough and awesome. Overall, amazing experience. Thank you, Cary Family Dental.
Brett Mastalli profile picture
Brett Mastalli
20:03 21 Dec 23
Very professional and well run practice with an eye towards superior patient service. Highly recommend!
Yvonne Parker profile picture
Yvonne Parker
00:09 19 Dec 23
I used your dentist on 12/8/23 to fix one tooth’s filing. You took 1 X-ray and charged me $200. Delta dental stated that they have never seen a charge that high especially for one tooth. You also charged me over $700 and stated that you would file with the dentist. Delta Dental only received the X-ray bill. Other dentist charge about $200 to $250 for the same work. I need for someone to call me and explain.
chernelle jones profile picture
chernelle jones
19:51 07 Dec 23
I truly enjoyed my entire experience! Vitoria and the rest of the team were friendly, patient, and knowledgeable of all things needed for my visit. The front desk team were extremely professional and kind. I would highly recommend this office to anyone!
Alyssa Sheptor profile picture
Alyssa Sheptor
19:12 05 Dec 23
Tori, the best hygienist ever. Always ask for her!
Tiffanie Lee profile picture
Tiffanie Lee
14:23 02 Dec 23
Catherine Laura profile picture
Catherine Laura
22:28 28 Nov 23
If you are looking are excellence, look no farther. Dr. Acton delivers, every time. The most personable staff, the best equipment, and his level of expertise make going to the dentist so very enjoyable. I have confidence in his treatment plans and his ability to provide therapeutic service. The ambience of the office is professional and tranquil. And there is plenty of parking. So very grateful! Looking forward to my new crown next month…say’s the person who used to hate seeing a dentist. ⭐️⭐️⭐️⭐️⭐️Cat
Jimmy Nguyen profile picture
Jimmy Nguyen
09:06 27 Nov 23
Nelson Gramajo profile picture
Nelson Gramajo
04:21 25 Nov 23
sallie a profile picture
sallie a
14:29 16 Nov 23
Great dentistry and customer service.
broadft61 profile picture
broadft61
23:38 14 Nov 23
The Hygenist, the Doctors, the entire team is so amazing. I can honestly say after 50 years, I AM NO LONGER TERRIFIED OF THE DENTIST!!! Thank you Cary Family Dental - see you soon!!
Leigh 🙂
Humberto profile picture
Humberto
00:51 14 Nov 23
I have a very well and professional dental and dentist services on my visit from staff to professional hygienist and follow up for more oral health care. Most satisfied and happy.
Dan Rich profile picture
Dan Rich
14:27 10 Nov 23
I changed dentists due to insurance coverage in October 2022. Today was my third visit for a cleaning and I had probably the best experience with a dental hygienist ever. Liz did an amazing job. She is very careful using the high-pressure water to clean close to the gums. There was no discomfort after Liz finished my cleaning. Dr. Wooten is excellent and thorough as well. Today's experience at Cary Family Dental was the “cats’ meow” and they have the best lib balm!
Angela Snow profile picture
Angela Snow
17:04 08 Nov 23
Ashley Broadwater profile picture
Ashley Broadwater
16:42 07 Nov 23
As someone who's struggled with dental anxiety and cavities, I totally recommend Cary Family Dental. They help me feel comfortable & have reduced my dental problems!
Tricia Bruno profile picture
Tricia Bruno
15:13 02 Nov 23
Just moved to the area and found CFD through Google reviews. They were 100% on point. This is probably my favorite dentist office I've been too. My hygienist Ana was so wonderful, as was Dr. Madden. I felt very welcomed and very well taken care of!
Catherine Castillo profile picture
Catherine Castillo
16:16 26 Oct 23
Had a great experience and very through cleaning. They discussed my needs and helped me reach my goals 🙂
Megan Grable profile picture
Megan Grable
19:33 23 Oct 23
Hygienist and dentist were both very nice, knowledgeable, and time efficient. My fears of the dentist have resolved now that I found these caring people. Thanks!
Robel Russom profile picture
Robel Russom
14:49 12 Oct 23
I went to Cary Family Dental for the first time and was really happy with my experience - easily a perfect 10/10! The staff there, including the dentist, were super nice. I want to give a special shout-out to Ana, as she did an amazing job and was really really good at what she does, very friendly, professional and great with explaining everything.

Came out the dentist, cheeeesing 😁!!!

100% Highly recommend!!!
Ellie Kitzmiller profile picture
Ellie Kitzmiller
21:12 09 Oct 23
First time and had a great experience! Karen the hygienist was so kind!
Jodi Hanes profile picture
Jodi Hanes
19:23 05 Oct 23
Thank you for addressing the issue and providing a generous refund.
Julie Garrison profile picture
Julie Garrison
19:50 03 Oct 23
I give this Dentist and all of his staff a 5 star. From the time you walk in their front door you are welcomed and put at ease. I had the dental hygienist named Ana today she was so sweet kind and gentle on some of my sensitive teeth. Everyone is so professional and kind in this office. I would continue to HIGHLY recommend this dental office for your dental needs.
Barbara Benson profile picture
Barbara Benson
11:10 29 Sep 23
I have been coming here for years. The people are great. Dr Acton is amazing. A special thanks to Janet and Rande. They made my visits extra easy. They are so professional and compassionate. Thank you so much for caring.
Cori May profile picture
Cori May
15:10 23 Sep 23
The best experience with a dentist office I've ever had! From setting up my first appointment to arriving for my first appointment the team at the front desk was super friendly and helpful. My hygienist, Karen, was great and took the time to walk me through the appointment and answer all my questions. Dr. Davis was great as well, he explained everything clearly and I learned new things I hadn't know in all my time going to other dentists. So glad I joined this group!
Linda Rosen profile picture
Linda Rosen
16:13 20 Sep 23
Cary Family Dental has been my go to dental practice for many, many years now. The care given is top rate. Dr Acton, the founder, has always provided state of the art dental technology for his patients. All of the dentists and hygienists are extremely client focused and knowledgeable.
My most recent experience with hygienist Liz confirmed all my previous experiences. This is a great place and I highly recommend it.
Diana profile picture
Diana
22:39 18 Sep 23
I typically hate going to the dentist but Cary Family Dental are a whole different experience! My hygienist, Karen, was super compassionate and thorough in explaining their process and what to expect on my follow up appointment. Dr Davis was very understanding and did not rush through the exam. I have left dental practices for their lack of trustworthiness and transparency but Cary Dental is top notch! They are not even in my network but the overall care is so worth the extras billed. I love my experiences here! Thank you for all you do.
Jacquelyn McNamara profile picture
Jacquelyn McNamara
19:53 18 Sep 23
Tori my hygienist was great. I was anxious about my appointment today because of my recent gum recession. She was very cautious and I had no pain. Dr. Wooten is great also. I’ve been going to Cary Family Dental for awhile now and always have a positive experience. Staff is very friendly too!
Evan Kramer profile picture
Evan Kramer
17:24 12 Sep 23
I always look forward to my appointments at Cary Family Dental. From the moment you set foot in the door, you are greeted with kindness and exquisite customer service. I didn't have to wait almost at all to go back for my cleaning, and all of the dental hygienists are incredibly thorough and awesome! Karen, who I have had several appointments with over the past few years, does an incredible job while maintaining an engaging conversation that makes it seems like the cleaning flies by. The dentists are all knowledgeable and kind as well, and seem to truly want to ensure your experience is the best it can be. I highly recommend this place to anyone looking for a new dentist!
Olivia Culotta profile picture
Olivia Culotta
14:25 08 Sep 23
I highly recommend Cary Family for all your dental needs. The office is very clean and welcoming. My hygienist Liz did an amazing job! She made sure I was comfortable and was very thorough with my dental cleaning! I have also met Drs Davis, Madden, Acton, and Wooten. All of the doctors are very professional and personable !
Cyrill Wiget profile picture
Cyrill Wiget
23:49 31 Aug 23
Cary Family Dental is without any doubt the best dental care I have ever experienced. I had always excellent dentists in Switzerland and NYC, but the professionalism, treatments, and the staff & dentists are worldclass. Every treatment is well explained! I am lucky I finally found my dentist in the US.....
Harold Madden profile picture
Harold Madden
15:00 13 Aug 23
Amazing dentist and hygienist!!
I have requested getting numbed for my dental cleanings for a number of years because my teeth are so sensitive. However, Fanta is so gentle and thorough in cleaning my teeth that I no longer request anesthesia.
I also had a veneer fracture and was dreading getting it replaced. Dr. Kristin Madden made me feel comfortable as soon as she came into the room with her gentle touch, kindness and infinite patience. The new veneer was even more beautiful than my old one. Dr. Madden meticulously matched my tooth color and covered more of the tetracycline staining of my tooth so that my smile is as amazing as Dr. Madden. I trust her to do anything in my my mouth.
Rachel Little profile picture
Rachel Little
00:09 27 Jun 23
I had the most amazing visit today despite not having been to a dentist for 5 years due to fear. I was super impressed with the hygienist who was so calming and they even asked about possible barriers to care which is so important. Dr Wooten and the hygienist took the time to explain the plan of care and why. They also are willing to do nitrous gas for my upcoming procedure. So amazing thanks you guys!
Abigail Barfield profile picture
Abigail Barfield
16:22 07 Jun 23
I’ve never liked going to the dentist. I’ve been to four different places in the last 3 years. BUT, I loved Cary Family Dental! I had Karen as my dental hygienist and she was great! She made me feel very comfortable and at ease! My dentist was Dr.Davis, who is is very knowledgeable and was incredibly helpful with the questions I had!
Googlereveiw profile picture
Googlereveiw
20:10 23 May 23
I only have great things to say about Cary Family Dental. Everyone is super friendly & professional. Over the years I have seen Dr. Acton & most recently Dr. Wooten & both Dr's make you feel important & cared for. Dr. Wooten's assistant Amber is so kind & friendly & she actually really made my day today. I highly recommend this dental practice.
Megan Dantini profile picture
Megan Dantini
18:11 15 Feb 23
What a wonderful experience at Cary Family Dental today! This is an extremely well run practice, light years above my previous experiences. I was a new patient today and had the pleasure of meeting Dana who was kind, thorough, but gentle and a wonderful listener. This office is modern and beautiful and very clean. The process of scheduling and paperwork was seamless and I enjoyed not having to stop for checkout at the end as they keep a card on file for charges. I was seen by Dr. Madden who was also very nice and did a comprehensive check. I will absolutely return and recommend this practice highly. 10/10 stars. Thank you!
Will Pryor profile picture
Will Pryor
00:53 04 Feb 23
My experience with Cary Family Dentist was fantastic! My dental hygienist, Josie, was amazing to talk to and very knowledgeable. Her comments were sourced with evidence based research. I would highly recommend her as your dental hygienist. Doctor Wooten was very professional and knowledgeable as well. I would highly recommend Cary Family Dentist if you are new in the area and looking to establish care with a knowledgeable and professional dental team.
Sonya Lang profile picture
Sonya Lang
12:43 26 Jan 23
To say that I had wonderful experience during my first cleaning at Cary Family Dental for someone with dental anxiety says a lot about their practice, my new hygienist, Candice, and Dentist! Candice informed along the way what she was doing and the tools she was using before starting. I loved that my teeth were polished prior to the cleansing of my gums. That helped to ease my nerves a bit. Overall, from scheduling my first appointment to arriving, my experience was top notch!! I expressed a concern with a dental issue and my dentist focused in on that area and eased my concern.

I would highly recommend Cary Family Dental to anyone looking for a practice who is attentive, provides great service, with exceptional customer service from calling to schedule an appointment, follow-up, to leaving their office.

I had missed my last dental appointment at my old practice because they had very limited hygienists, so I was behind on my current cleaning. I feel so much better since my cleaning today, and very happy that I chose Cary Family Dental my dental care 🦷 🤩🤩🤩
Jackie Kern profile picture
Jackie Kern
00:46 12 Jan 23
The best- I have seen Dr. Madden for two cleanings now and she is great! Their office is amazing, staff is super helpful and the dental hygienists are the BEST! So friendly and always making sure you are comfortable. Cary Family is technically out of network for me but they cover the difference for preventative care cleanings. I have cavities that need to be filled and my insurance plan isn’t the best, but Dr. Madden was quick to refer other dentists in the area that may be in network for me. I will be going back for everything except for restorative care or until I have better insurance.
Kathy Wakeman profile picture
Kathy Wakeman
11:32 22 Dec 22
Dr Acton and his wonderful staff make going to the dentist fun. Not easy to say about dental appointments in general but true for Cary Family Dental. Patients are treated like family, and Dr. Acton employs the latest technology to get the best results. Wish there were more stars as I would give them 10.
Maryanne Kalman profile picture
Maryanne Kalman
15:56 22 Nov 22
Thank you Cary Dental! I cannot say enough good things about this office. I had very bad experiences with the dentist as a child/teenager and this has negatively impacted my visits to the dentist as an adult. It made me a very reluctant, fearful dental patient. I feel very grateful to have found Dr Acton & his office staff. They are all very welcoming, caring & kind. Dr Acton and his assistants Hannah & Randy explain everything, are patient & very gentle. I just had a dental cleaning with Candice who was incredibly understanding, compassionate & efficient. She made my cleaning such a good experience. I met Dr Madden today and she was also kind & gentle. I highly recommend Cary Family Dental.
Jasmine Lanning profile picture
Jasmine Lanning
16:21 29 Sep 22
My husband and I would like to thank Liz the Hygienist, for being extra thorough with my husbands teeth. We would like to Thank Dr. Acton and Hana for all the Treatment done for various fillings and other procedures, they are both very gentle with the mouth and care about their patients comfort, this goes a long way for someone who hasn’t had the best luck with dentists and who has a mouth full of need. Last but not least we would like to thank Mackenzie at the front desk for revising and breaking down his treatment plan for him. I highly recommend this dentistry!
Bridget Buck profile picture
Bridget Buck
16:10 14 Sep 22
Everyone was very nice, knowledgeable and professional. Ronnie has a great Dental Hygienist. Her name is Casey Eubanks! She knows how to specially go the extra mile to make sure the patient is at ease and has a great experience under the circumstances of my son having special needs! We live out of town but worth the drive knowing getting great patient care! Very Clean office as well!
Elizabeth Strange profile picture
Elizabeth Strange
13:36 07 Sep 22
Cary Family Dental hands down is the best dental office around! They treat you like family and have so much respect for you as a patient. Both my hygienist Carrie and Karen have been amazing and Dr.Madden is the definition of poise and class! Highly recommend if you are in the area!
Melanie Boyette profile picture
Melanie Boyette
13:10 26 Aug 22
I had a wonderful experience! Everyone is friendly and welcoming! My hygienist, Casey, was outstanding. She was thorough and explained everything she was doing. She took her time and was not rushed. I will definitely be back!
Tim Hancock profile picture
Tim Hancock
13:48 18 Aug 22
They really make taking care of your teeth a breeze, even for bigger procedures. They also have movies and TV available on the ceiling and other amenities. More importantly though is that they are a fun and friendly group to work with and exceptionally talented at what they do.
Kristen Bickford profile picture
Kristen Bickford
20:53 17 Aug 22
A fabulous place! Not only is the office absolutely gorgeous, but the care and service I received was great! I went in for a new patient visit, was able to get a cleaning and see the dentist! I thought the dentist was very thorough which I appreciated. 10/10 experience and they even gave me a welcome gift. I’d recommend Cary Family Dental to anyone needing a new dentist in the triangle area, they were just fantastic!
OH MY GOSH! I AM BRAND NEW @ CARY FAMILY DENTAL BUT LET ME TELL YOU I LOVE THEM! I CALLED TO SCHEDULE AN APPOINTMENT & THEY GOT ME IN THE NEXT DAY! I WAS DELIGHTED WITH ALL OF THE LOVELY PEOPLE, THEY SMILED AND SPOKE TO ME WITH SUCH POSITIVITY AND I RECEIVED AWARD WINNING CARE I COULD NOT STOP SMILING AND LAUGHING AS EVERYONE IS SO PLEASANT YOU MUST COME HERE I HAVE ALREADY SCHEDULED MY NEXT APPOINTMENT! THANK YOU CASEY AND EVERYONE @ CARY FAMILY DENTAL!
Always a great experience. I had 2 cavities filled today and the dentist and the assistant were wonderful. They cared for my comfort during the procedure.
Maria Williams profile picture
Maria Williams
13:21 06 Aug 22
I have been a patient at Cary Family Dental for over a decade. The Dentists/Team are absolutely wonderful! They are all professional; and, stay on the cutting edge of technology with state of the art procedures. I always feel that they keep my dental health a top priority! I always leave satisfied. I highly recommend them!
C A Chu profile picture
C A Chu
02:35 01 Jul 22
First impressions last and Cary Family Dental did provide the best impression for a new patient like myself. I’ve been with my previous dentist for years and sadly decided it was time for a change after having experienced less favorable visits the past year and a half. Everything from the time I pulled up to my parking space to the quick tour of the office to my very detailed (and impressive teeth cleaning!) and conversation with Dr. Davis, the process has been seamless, organized, easy peasy and very professional. I’ve also had experienced great dental hygienists in the past but Kim is hands down the BEST I’ve ever had. Very knowledgeable, personable, gentle and efficient and I don’t think I will ever be the same again when it comes to my teeth cleaning! Lol Thank you Dr. Davis and team for taking such great care of me during my recent visit. Most importantly, thank you for listening to my concerns and providing me with the knowledge I needed to make the right decision for my dental health. Looking forward to returning and getting back on track to a great dental health!
Ram K profile picture
Ram K
15:27 08 Jun 22
Very pleased with all the treatment so far and scheduling. It's a nice new clinic on Kildaire farm rd. Liz was AWESOME! She's truly a perfectionist. No one in the past has cleaned that well and throughly. She was super patient & cares for her patients. We will continue to use this for our dental needs. THANK YOU!
Rana J profile picture
Rana J
22:29 19 May 22
This place is NOT like other places where they just want rip you off and take your money. In fact if you are looking for a dentist that is clean, organized and have a wonderful/professional staff! Seriously, look no farther!. I was seeking today for a dentist and I found this place with these many 5 stars reviews . I’m usually very skeptical about dental stuff and who touches my teeth. But I can’t describe how glad that I called this place and I scheduled an appointment SAME DAY for consultation. First the building is gorgeous and CLEAN! Staff are very friendly! They have the best customer service and very efficient. You can reach out to them by phone , email and text. Prompt Responses to any questions or concerns. Tiffany met with me first to address my concerns. She asked me all these important questions. She is an amazing and detailed on explaining things and making me feel very comfortable. And then Dr. Madden came to see me to check my teeth. I can’t tell you how much this doctor is WONDERFUL , CARING and PROFESSIONAL. I highly recommend to go see HER! She has knowledge and she recommends things/treatment that will keep your teeth healthy. Don’t waste your time or money looking somewhere else. This is one of the best dental clinic I ever been. Highly recommended!
Cam Sexton profile picture
Cam Sexton
20:10 19 May 22
I would recommend Cary Family Dental to anyone. Went for a routine cleaning. Easy to tell they are a well run office with new equipment, efficient and friendly staff, and affordable. Dr. Davis and Karen were exceptional in the care I received.
G H profile picture
G H
14:07 12 May 22
Cary Family Dental has an excellent staff. They are all kind from start to finish. They make you comfortable when you get into the client rooms so that you can be totally relaxed while getting a cleaning, x-rays, or any other procedure. The dentists are very patient oriented and make you feel welcome. The dental assistants that have helped me are extremely knowledgeable and will answer any and all questions. Today, I had Karen as my dental technician. She is extremely professional, personable and her technique is flawless and painless. Way to go Karen. Keep up the good work! If you have not been to Cary Family Dental before and need your teeth cleaned, ask for Karen. You will be glad you did!
Angie Petty profile picture
Angie Petty
19:54 04 May 22
Cary Family Dental is a great office. The staff were courteous, thoughtful, knowledgeable, and kind. The site is beautiful and comfortable. I really appreciated their efforts to support safety and social distancing too. I felt cared for from the moment I arrived till the moment I walked out the door.
Kylie Slusser profile picture
Kylie Slusser
16:58 04 May 22
I could not be happier with my choice to establish care with CFD! I am new to the area, so it was overwhelming to place my trust in a new practice to do cleanings, whitening, and more cosmetic things. My hygienist, Carrie, and Dr. Acton were nothing short of amazing. They explained everything thoroughly and made sure all my questions were answered before I left. I am super excited to continue my care through them and to see my end results!
Taylor Tariq profile picture
Taylor Tariq
14:08 04 May 22
This was the best experience I have ever had at a dentist. The office was clean, inviting, and not intimidating. The dental hygienist was communicative and comforting. I never felt judged for not having been to the dentist in a while and always felt at ease. The dentist was just as thoughtful and comforting. Couldn't recommend this practice enough.
Katie Delgado profile picture
Katie Delgado
15:56 28 Apr 22
Ameenah and Dr. Madden are amazing at what they do. I have never been a fan of going to the dentist, but they make the experience easy and comfortable. These ladies are amazing and get 5 stars for being professional lovely people.
Tammy McCollum profile picture
Tammy McCollum
18:14 21 Apr 22
Cary Family Dental is a great place to go to take care of your teeth. I do periodontal cleanings and always come to Karen (my favorite dental hygienist there) each time. She is super friendly, very professional, and provides exceptional service. You are always in good hands with Karen. Overall, the staff here are very gentle and kind. They explain very well the procedures and execute them flawlessly. Thanks again Karen and Cary Family Dental, can't wait to come back!
Ashley Roark profile picture
Ashley Roark
20:05 14 Apr 22
The visit was awesome! They were kind and efficient in taking care of my teeth. After searching for a dentist office since my recent move down here, I can safely call this place my new dental home!
Shiela Sieni profile picture
Shiela Sieni
14:55 06 Apr 22
Thank you so Much Dana and Dr. Madden. I can not tell you enough how much I appreciate you both and the staff. I could not have picked a better Dental Office.
E Adam profile picture
E Adam
00:04 23 Feb 22
Great dentist. Very pleased with everything.
Karen is my hygienist and she makes my visits very welcoming. Everyone here is very pleasant.
Jimmy Riordan profile picture
Jimmy Riordan
22:38 15 Feb 22
One happy camper! Karen is a superstar and actually she’s in very company. The entire staff is very nice and professional. I have never experienced such a comprehensive exam. I don’t have dental insurance so I purchased their plan and it’s a terrific value.
Keep smiling.
Darlene Germano profile picture
Darlene Germano
21:58 24 Jan 22
Cary Family Dental is an excellent choice for your dental needs. I have been a patient of Dr. Acton's for 19 years. You can trust him to listen to you and address your needs and/or fears. He has the most up to date procedures and invest in training all of the staff on both the latest techniques and customer service. The front office staff is also always courteous and helpful. They handle all the insurance questions efficiently and with a smile. I feel safe and well cared for at each of my appointments.
MyGuy profile picture
MyGuy
15:13 10 Jan 22
Everyone at this place is amazing. I've moved around quite a bit and this is the only dentist that I've found that made me feel very comfortable each and every time. They take the time to explain everything and all your options. Unfortunately, I have to leave because I moved further away, but I would absolutely highly highly recommend this Dentist to anyone without hesitancy.

Tour Our Office!

Schedule an Appointment

Call: 919-371-4428 or fill out this form

915 Kildaire Farm Rd Cary, NC 27511

Name(Required)
Close Menu
Call Us
Text Us
Email Us
Find Us